如果将长期狭窄的脑血管比作干涸的河道,那么支架植入后血流的恢复就如同突如其来的暴雨。那些长期"缺血缺氧"的脑组织,在突然获得充足血液供应时,往往难以适应,从而导致脑组织水肿甚至严重出血——这就是高灌注综合征!
尽管这一严重并发症的发生率仅为1-3%,但造成的损害无法逆转,若并发脑出血,其死亡率可能高达51%。正因如此,成熟的神经介入团队始终坚持以百分之百的努力,应对这百分之一的可能。

案例一:及时识别与抢救

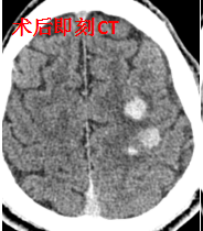
66岁男性,因"突发右上肢无力2天"入院,诊断为左侧内分水岭性脑梗死、左侧颈动脉重度狭窄。经介入团队全面评估,医患充分沟通后,实施了颈动脉支架植入术:手术过程顺利,支架精准置入,血流恢复通畅。




然而,就在手术结束的那一刻,术者敏锐地发现患者右上肢肌力突然由术前的3级(可抬离床面)降至0级(完全瘫痪)。虽然患者神志清楚、言语流利,但这一细微变化立即触发了抢救应急预案,复查头部CT显示:左侧额顶叶梗死区域出现脑出血转化——这正是高灌注综合征的典型表现!



面对这一突发状况,周元主任指导调整治疗方案,护理团队日夜守护,精准调控血压,患者和家人全力配合治疗!患者的病情逐步好转,最终康复出院,重获行走能力。

案例二:分期手术规避风险

62岁女性,同样因脑梗死、左侧颈动脉狭窄入院。介入团队评估,患者颈动脉狭窄重,且远端负性重构,再灌注出血风险高,建议分期进行支架成型手术,以降低高灌注综合征发生率。两次支架成型术后,颈动脉血管重建良好,术后未发生出血等,患者平稳出院。




专业铸就生命防线——团队制胜之道

"早发现、准判断、快处理"是周元主任团队恪守的工作准则。面对高灌注综合征这一严峻挑战,神经内科医护团队形成了独具特色的应对体系:神内、影像、康复强强联手的多学科协作,个体化的血压控制,平衡抗血小板药物与出血风险的精细化用药,“信安”护理团队的全程守护。

作为岳阳地区脑血管疾病诊疗的重要基地,岳阳市人民医院神经内科始终秉承"以患者为中心"的服务理念,不断追求技术创新和服务优化。
来源:岳阳市人民医院







