75岁的李嗲因“头晕1月”来到岳阳市人民医院,并向医生表示自己能明显感觉到腹部有一个随着心跳一起起伏搏动肿块,近来似有增大。凭借丰富的临床经验,介入血管外科主任孔德顺判断可能是腹主动脉瘤,立即将其收入介入血管外科诊治。
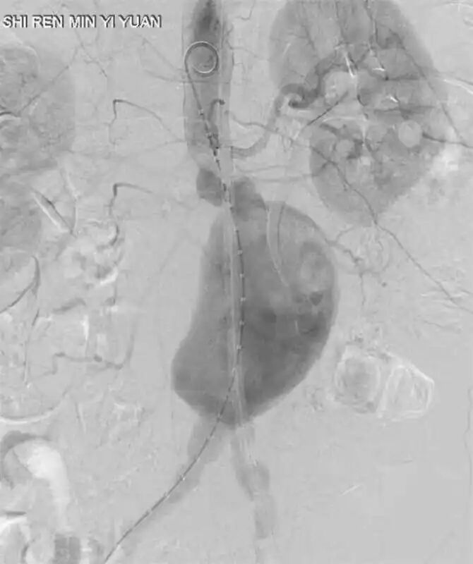
检查结果证实了孔主任的判断:李嗲腹主动脉中下段有一个直径达10cm的巨大动脉瘤伴壁间血肿,超过正常血管直径的3-4倍。

腹主动脉瘤
虽然名称中有“瘤”,但并非传统意义上的肿瘤,而是腹主动脉血管壁在病理因素作用下扩张膨大形成的瘤样病变。一旦动脉瘤破裂,高速、高压的血流将直接涌入腹腔,患者可能在短时间内休克死亡。正因如此,腹主动脉瘤被称为人体内的“不定时炸弹”。
对李嗲这样的高龄患者,传统的开腹手术需要切除病变血管并置换人工血管,创伤大、失血多,并发症发生率高,高龄及有合并症患者往往难以耐受。面对这一挑战,孔德顺迅速组织了全院多学科会诊,为李嗲制定了科学严谨的手术方案——腹主动脉覆膜支架腔内隔绝术。这种介入微创治疗技术为腹主动脉瘤提供了更佳的解决方案。它无需开腹暴露病变血管,而是通过微创方式在动脉瘤内送入覆膜支架,在血管腔内重建新的血液通道,达到消除动脉瘤危害的目的。相比传统手术,介入微创治疗具有创伤小、并发症少、术后恢复快的优势。特别是对于高龄、有心肺功能基础疾病的患者,更能提高手术耐受性和安全性。


术前影像


术后影像
介入血管外科团队凭借精湛的技术,在专用DSA机器的引导下,他们如同在微观世界里进行一场精密的“导航”。支架放置的精准度是手术成功的关键。放置过高可能阻塞肾动脉血供,过低则可能影响远端血流。经过精心操作,手术团队成功将覆膜支架定位于理想位置,完全隔绝了动脉瘤,同时保证了重要分支血管的血流通畅。最终,顺利拆除了患者体内的“不定时炸弹”,这场高难度手术最终圆满成功!

随着微创介入技术的发展,腹主动脉瘤的治疗取得了长足进步。介入治疗是处于外科、内科之间的新兴治疗方法,具有便捷、安全、有效、微创以及并发症少等优点早期发现、早期治疗是应对腹主动脉瘤的关键。介入血管外科专家建议,中老年人应定期接受超声检查,一旦发现腹主动脉瘤需规律随访。
科室简介
岳阳市人民医院介入血管外科成立于2023年,科室能够单独开展外周介入、肿瘤介入等各类介入诊疗手术,包括各系统的动、静脉血管造影诊断及咯血、胃肠道出血、妇科及产后大出血、创伤出血等出血疾病的栓塞治疗,肝癌、肺癌等肿瘤的灌注化疗及栓塞治疗,以及主动脉夹层,胸腹主动脉瘤、糖尿病下肢动脉狭窄闭塞、下肢静脉血栓及曲张等疾病方面的介入治疗。
来源:岳阳市人民医院







