
昨日,一场惊心动魄的“生命保卫战”在岳阳广济医院上演。一名56岁男性患者因ST段抬高型急性冠脉综合征(STEMI)启动院前急救,从120出车到介入手术,岳阳广济医院急诊科、心内科、麻醉科、ICU、CCU等多学科团队无缝衔接,成功将该患者从死亡线上拉回。


患者转入导管室
患者病情凶险,在院前120急救团队接到指令后,仅用2分钟便迅速出车,为抢救赢得了宝贵先机。患者入院后,急诊科立即启动胸痛中心绿色通道,就在准备转运至导管室的关键时刻,患者突发心室颤动——这是心脏骤停的前兆,死神悄然逼近。

面对突发状况,急诊科团队立即实施电除颤。患者出现心脏骤停,医护团队没有丝毫犹豫,立即进行高质量心肺复苏。为保障气道通畅及后续治疗,在镇静状态下为患者实施气管插管,稳定了患者生命体征。

介入治疗

术中抽吸的血栓
在控制住恶性心律失常后,患者被安全转运至导管室。由于病情危重,医院立即启动全院蓝色代码(医疗急救响应)。在急诊科、麻醉科、重症医学科(ICU) 的紧密护航下,心内科介入团队成功为患者完成了介入治疗,开通了闭塞血管。


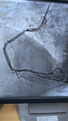
影像图片
手术结束后,患者在ICU进行术后监护,平稳后现已顺利转入心血管重症监护室(CCU) 接受后续治疗。
此次抢救,从院前急救到院内抢救,从导管室奋战到重症监护,充分展现了岳阳广济医院 “院前-急诊-手术-重症” 一体化救治体系的高效与成熟。面对急危重症,岳阳广济医院多学科团队反应迅速、配合默契,用实际行动践行了“生命至上”的承诺。
专家介绍
![杨模国[竖版].jpg](https://cdn-ronghehao.0730news.com/20260326/9ab137fe1bcdb3d020f5418e6f0b23492cf9160b.jpeg)
每一次抢救都是对团队协作能力的考验。此次成功救治,不仅体现了急诊科应对突发状况的应急能力,更彰显了全院多学科(MDT)在危急重症救治中的核心优势。我们将继续优化流程,为百姓的心脏健康保驾护航。
来源:岳阳广济医院







