春回大地,万物争荣。三月第一周,岳阳市人民医院神经外科接连打响四场高难度的“头脑保卫战”,并以四战全胜的佳绩,展现了科室显微技术与介入技术并驾齐驱的强劲实力。
智取“巨无霸”
41岁的刘女士,因持续头痛、耳鸣两个月前来就诊。影像检查发现,其大脑深处、紧邻最重要的静脉回流通道——上矢状窦,潜伏着一个直径达7厘米的巨大窦旁脑膜瘤,如同一个“巨型炸弹”。
面对肿瘤巨大、位置深、毗邻重要静脉窦的极高手术风险,神经外科团队凭借精湛的显微手术技术,在错综复杂的血管与脑组织之间精细操作,最终将这枚“霸瘤”完整切除,成功解除了对患者大脑的致命压迫。
巧取“盘中丝”
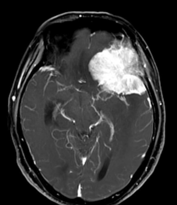
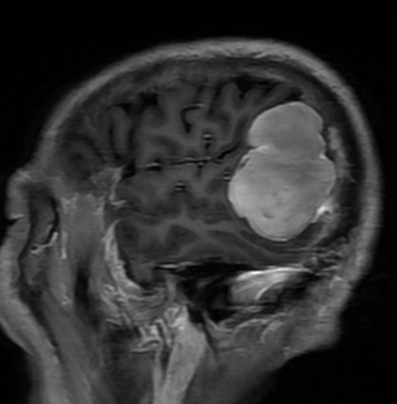
73岁的李奶奶,因头痛、痴呆半年入院。检查发现,其左侧蝶骨嵴位置生长了一个6厘米的肿瘤。这个肿瘤如同生长的藤蔓,将大脑中动脉及其主要分支紧紧包裹缠绕,并已引起脑疝,病情危殆。
术中,黎建先主任在高倍手术显微镜下,以超凡的耐心和稳定如磐的双手,像整理最精细的丝线一般,将至关重要的动脉血管一根根从肿瘤组织中小心翼翼地分离、保护出来,最终既实现了肿瘤的全切,又完好保留了患者宝贵的神经功能。


清扫“阵地险”
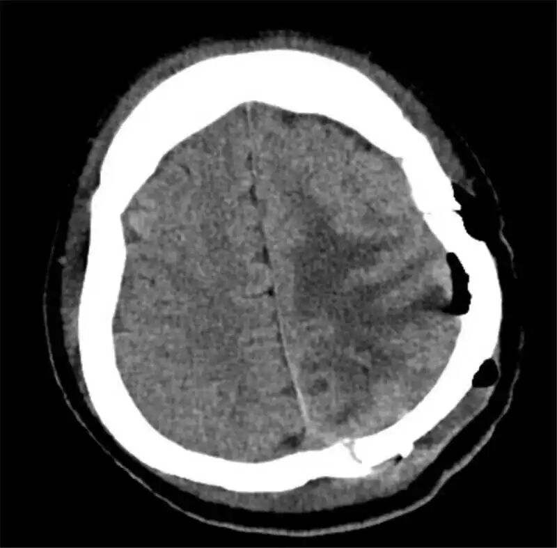
69岁的王大爷,因头痛在外院查出右颞顶区5厘米肿瘤,同时伴有严重肺部感染。转入岳阳市人民医院后,经过一周积极治疗,待其肺部情况稳定,神经外科团队立即接手。
尽管肿瘤质地坚韧,与周围血管粘连紧密,但团队凭借过硬的显微技术功底,仅用2小时便干净利落地完成了肿瘤切除。整个手术过程精准、流畅,充分展现了团队应对不同位置、不同难度颅内病变的丰富经验和高效协作能力。


巧施“介入术”
67岁的谢奶奶,则面临着一枚脑血管内的“不定时炸弹”——大脑中动脉瘤。与传统的开颅手术不同,团队此次采用先进的介入技术——WEB装置植入术,巧妙地为患者拆除了血管内的隐患。尤为重要的是,该技术避免了患者术后长期服用抗双抗药物,极大提升了患者的生活质量与安全性,真正实现了微创、高效、高质量的现代治疗目标。


一周,四台手术,四种高难度挑战,全部圆满成功。四位患者术后均恢复良好,无严重并发症发生。这不仅是神经外科团队精湛医术的集中展示,更是科室在高精度显微神经外科与微创介入神经外科两大核心领域齐头并进、日益成熟的有力证明。神经外科始终秉持初心,致力于以过硬的技术和温暖的守护,为岳阳及湘北地区百姓的脑健康,筑起一道坚实的屏障!
来源:岳阳市人民医院









